If you’ve ever been swept up in the Holy Spirit and felt unfamiliar words leave your mouth, you know you are not in full control of what you’re praying.
Science now backs this lack of control over your tongue, essentially proving the Holy Spirit actively moves your speech pattern when speaking in tongues.
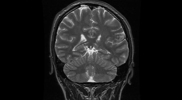
In a study conducted by University of Pennsylvania researchers, scientists tracked the blood flow through the brain as women spoke in tongues and sang gospel songs.
By comparing the patterns created by these two emotional, devotional activities, the researchers could pinpoint blood-flow peaks and valleys unique to speaking in tongues, The New York Times reports.
What does all this mean? Watch the video to see!











